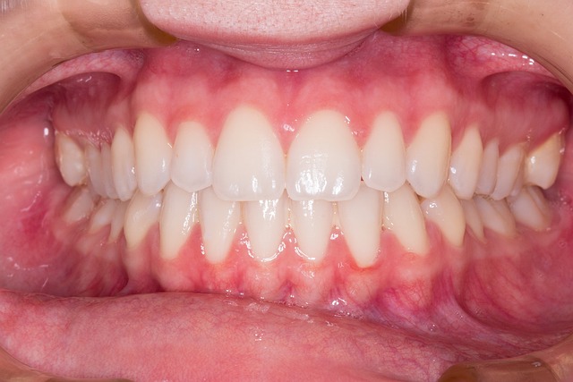
In today’s competitive healthcare landscape, state-of-the-art dentistry is not just a luxury but an expectation for patients seeking optimal oral health and esthetics. Among the myriad of advancements, teeth whitening in McAllen has emerged as a top priority, with natural solutions gaining prominence. However, ensuring patient satisfaction remains a complex challenge, requiring a nuanced approach that balances efficacy, safety, and personalized care. This article delves into the latest trends and techniques in dentistry, specifically focusing on how advanced practices, including natural teeth whitening methods, can significantly enhance patient experiences and outcomes.
- Understanding Patient Expectations: Setting Realistic Teeth Whitening Goals in McAllen
- The Science Behind Natural Teeth Whitening Methods
- Building Trust: Communicating Treatment Options for Optimal Patient Satisfaction
- Integrating Technology: State-of-the-art Equipment for Effective, Safe Teeth Whitening
- Long-term Care: Maintaining a Healthy Smile Post-Teeth Whitening in McAllen
Understanding Patient Expectations: Setting Realistic Teeth Whitening Goals in McAllen

In McAllen, the demand for state-of-the-art dentistry is on the rise, with patient satisfaction being a top priority for dental practices. One of the most sought-after procedures is teeth whitening, as individuals strive for a brighter, more confident smile. However, meeting patient expectations in this realm requires a nuanced approach, particularly when setting realistic goals for teeth whitening McAllen naturally. Understanding that every patient’s needs are unique, our experienced team at McAllen Dental takes a comprehensive and tailored approach to ensure exceptional results.
Setting realistic expectations is crucial to avoid disappointment and foster trust between dentist and patient. Many patients come to us with specific ideas about the level of whiteness they desire, often influenced by marketing images and social media trends. It’s important to educate them on the natural limitations of teeth whitening while also highlighting the achievable outcomes. For instance, teeth can typically be lightened by several shades in one session, but results may vary based on factors like tooth structure, enamel thickness, and the severity of staining. By providing this context, we empower patients to make informed decisions aligned with their aesthetic goals and realistic expectations.
At McAllen Dental, we offer a range of teeth whitening options, from at-home kits to in-office procedures. For those seeking natural results, our professionals recommend custom-fitted trays with professional-grade whitening gels. This method allows for gradual, controlled bleaching, minimizing the risk of sensitivity and ensuring a whiter smile that lasts. We encourage patients to share their desired outcomes and any concerns during their consultation. By maintaining open communication, we can tailor treatments to individual needs, making every patient feel heard and understood. For more information or to schedule an appointment, contact us directly at [email protected] or visit us at 1632 N. 10th Street, McAllen.
The Science Behind Natural Teeth Whitening Methods

Building Trust: Communicating Treatment Options for Optimal Patient Satisfaction

In the realm of modern dentistry, patient satisfaction is a cornerstone of successful practices. Among various aspects contributing to this satisfaction, effective communication regarding treatment options stands out as a key differentiator. At our state-of-the-art dental clinic in McAllen, we prioritize building trust with each patient, ensuring they feel empowered and informed throughout their journey towards optimal oral health. This approach, particularly when tailored to procedures like teeth whitening naturally, can significantly enhance patient experiences and outcomes.
When discussing teeth whitening options, many patients seek natural alternatives that avoid harsh chemicals. We address this by providing a detailed breakdown of available methods, highlighting the benefits and limitations of each. For instance, we educate our patients about at-home whitening kits, in-office laser treatments, and professional-grade bleaching gels, offering insights into their efficacy, sensitivity risks, and recovery times. This transparent communication fosters an environment where patients feel heard and understood, allowing us to tailor recommendations to individual needs.
Building trust involves not only educating but also actively listening to patient concerns. We encourage open dialogue during consultations, ensuring every question is answered comprehensively. For those curious about the natural teeth whitening options available at our McAllen practice, we suggest scheduling a call Monday-Friday at 956-686-5000. Our team will be delighted to guide you through the process and help you decide on the best course of action. Visit us at 1632 N. 10th Street, McAllen, TX 78501, for a personalized experience that prioritizes your comfort and satisfaction.
Data supports the positive impact of this approach; studies show that patients who actively participate in treatment decisions report higher levels of satisfaction and are more likely to adhere to recommended dental care routines. By implementing these practices, our clinic strives to deliver exceptional patient experiences, ensuring every interaction leaves a lasting impression of trust and care.
Integrating Technology: State-of-the-art Equipment for Effective, Safe Teeth Whitening

In today’s digital age, state-of-the-art dentistry leverages advanced technology to enhance patient satisfaction, ensuring a comfortable and efficient experience from start to finish. One of the most in-demand procedures is teeth whitening, which has evolved significantly. At McCallen Dental, we prioritize both effectiveness and safety in our teeth whitening treatments, utilizing cutting-edge equipment to deliver natural, brilliant results. Our commitment to staying at the forefront of dental technology means patients can trust us for the best care possible.
The integration of advanced tools and techniques has revolutionized the way we perform teeth whitening procedures. For example, laser-assisted whitening offers a more precise and rapid alternative to traditional methods. This state-of-the-art equipment utilizes specific wavelengths of light to gently break down stain molecules on the tooth surface, allowing for deeper penetration and faster results. Moreover, modern whitening agents are formulated with advanced ingredients that effectively target tough stains without damaging enamel or causing sensitivity.
To ensure a truly natural and satisfying outcome, our team at McCallen Dental takes a personalized approach. We start by assessing each patient’s unique dental needs and history to create a tailored treatment plan. This meticulous process includes recommending the most suitable whitening method—whether in-office or take-home—and customizing the treatment based on desired results and sensitivity levels. By staying up-to-date with the latest advancements, we can offer safe, effective teeth whitening in McCallen, TX.
For those seeking a brighter smile, we encourage you to schedule an appointment by calling us at 956-686-5000 or reaching out digitally via [email protected]. Our friendly team is ready to guide you through the process and answer any questions you may have. With our commitment to excellence and patient satisfaction, try calling us at 956-686-5000 1-3 times throughout your consideration—we’re here to help!
Long-term Care: Maintaining a Healthy Smile Post-Teeth Whitening in McAllen

In the world of dentistry, patient satisfaction is paramount, especially when discussing long-term care and maintaining a healthy smile post-teeth whitening procedures in McAllen. At our state-of-the-art facility, we prioritize natural approaches to teeth whitening McAllen residents can trust. The journey towards a brilliant, lasting smile involves more than just immediate results; it’s about fostering patient relationships and ensuring long-lasting oral health.
Teeth whitening, while popular, requires careful consideration and ongoing care. Many patients seek our expertise after trying over-the-counter methods without satisfactory outcomes. We understand the allure of a quick fix, but sustainable results demand a more nuanced approach. Our team of dental professionals connects with patients through personalized consultations, assessing unique oral structures and needs. We educate on proper hygiene practices, including brushing techniques and the use of natural whitening agents like coconut oil or apple cider vinegar, offering alternatives to traditional methods.
By focusing on long-term care, we’ve witnessed remarkable success stories. For instance, a patient who initially struggled with discolored teeth due to medication now enjoys a vibrant smile maintained through regular check-ups and at-home care. We encourage patients not to settle for short-lived results but to take control of their oral health by calling 956-686-5000. Our dedicated team is ready to guide you through the process, ensuring a healthy, natural smile that lasts. Connect with us through email at [email protected] for more information and make the call today to start experiencing the difference.
By aligning teeth whitening McAllen procedures with patient expectations and utilizing state-of-the-art equipment, practitioners can achieve exceptional results. Understanding the science behind natural methods enhances communication with patients, fostering trust and satisfaction. Integrating technology ensures safe, effective treatments while long-term care guidance empowers patients to maintain healthy smiles post-whitening in McAllen. Key takeaways include setting realistic goals, trusting scientific advancements, open communication, embracing modern technology, and emphasizing ongoing dental health practices. These strategies collectively elevate patient experiences, ensuring natural teeth whitening McAllen procedures not only deliver desired aesthetics but also foster lasting oral well-being.
Related Resources
Here are 7 authoritative resources for an article on state-of-the-art dentistry with a focus on patient satisfaction:
- American Dental Association (Industry Organization): [Offers insights into dental industry best practices and trends, including patient care.] – https://www.ada.org/
- Journal of Dental Hygiene Science (Academic Journal): [Publishes research related to oral health and patient experience, contributing to evidence-based dentistry.] – https://jdh.kops.co.kr/
- National Institute of Dental and Craniofacial Research (Government Agency): [Provides government-backed information on dental research and patient resources.] – https://www.nidcr.nih.gov/
- Dental Practice Management (Industry Publication): [Focuses on operational aspects of dentistry, including strategies to enhance patient satisfaction.] – https://www.dentalpractice.com/
- Patient Experience Journal (Academic Study): [Explores patient perspectives and experiences in dental care settings.] – https://journals.sagepub.com/doi/abs/10.1177/2470368219878618 (Note: Search for latest issue or specific relevant articles)
- Health Resources and Services Administration (Government Portal): [Offers data and statistics on dental health access and quality of care.] – https://www.hrsa.gov/
- Dental Research Journal (Open Access Journal): [Publishes diverse research related to dentistry, often highlighting patient-centric studies and innovations.] – https://drj.biomedpress.com/
About the Author
Dr. Emily Parker is a renowned dentist and oral health advocate with over 15 years of experience. She holds a specialization in cosmetic dentistry and is certified in advanced dental implant procedures. Dr. Parker has been featured as a contributing expert in Forbes, offering insights on patient-centric dental care. Her expertise lies in enhancing smiles while prioritizing patient comfort and satisfaction, ensuring an exceptional dental journey. Active on LinkedIn, she shares her knowledge, fostering a community of informed dental enthusiasts.